Glaukomverlaufskontrolle mit dem OCT

Das Glaukom oder “grüner Star” genannt, ist immer noch eine der wichtigsten Erblindungsursachen. Der Augeninnendruck (IOD) ist meist zu hoch, wobei dieser Wert sehr individuell ist, aber in der Regel über der statistischen Norm von 10 – 21 mmHG liegt.

Glaukom1

Zirkulationsverhalten des Kammerwassers

Für eine optimale Versorgung müssen der Blutdruck für die Papille und der IOD in einem Verhältnis stehen. Wird der IOD zu hoch, kann es zu Durchblutungsstörungen im Bereich der Papille kommen. Zwei Arten von Schäden können auftreten: durch mechanischen Druck auf die feinen Gefäße der Papille und Schaden durch Minderdurchblutung.

Es werden zwei Arten von Glaukomen unterschieden. Das primäre Glaukom beschreibt Glaukomverläufe, die nicht durch andere Erkrankungen ausgelöst werden. Diese treten in 95% der Fälle auf. 5% der Glaukom Patienten haben ein sekundäres Glaukom, welches die Folge einer anderen Erkrankung im Körper ist (beispielsweise Gefäßneubildungen oder Ablagerungen von Pigmenten im Kammerwinkel, Entzündungen oder Verletzungen). Ein primäres Glaukom tritt meist erst ab 40 Jahren auf (Quelle: Tielsch et al.: Baltimore Eye Study).

Bei einer augenärztlichen Untersuchung des Augeninnendrucks sind Werte zwischen 21-25 mmHg kontrollbedürftig und Druckwerte über 25 mmHg pathologisch.

Es gibt einige Risikofaktoren für die Entwicklung eines primären Glaukoms. Diese sind beispielsweise das Alter, die ethnische Zugehörigkeit (es besteht z.B. ein höheres Risiko bei stärker pigmentierten Afrikanern), Vererbung, Herz-Kreislauf-Erkrankungen und einer Myopie über -5 dpt.

Die diagnostischen Möglichkeiten sind vielfältig. Von der Tonometrie über die Perimetrie bis hin zur Betrachtung mit Lupen und Kontaktgläsern an der Spaltlampe (Ophthalmoskopie und Gonoskopie) trägt jedes Verfahren ein Puzzleteil zur Diagnose und vor allem Verlaufskontrolle bei Glaukomen bei. Die modernste Technologie bietet jedoch das OCT. Kontakt- und schmerzlos kann mit einer OCT Aufnahme die Nervenfaserschichtdicke und der Kammerwinkel gemessen und im Verlauf beurteilt werden.

Glaukom2b

OCT Netzhautdicke mit Abgleich der Normativdatenbank

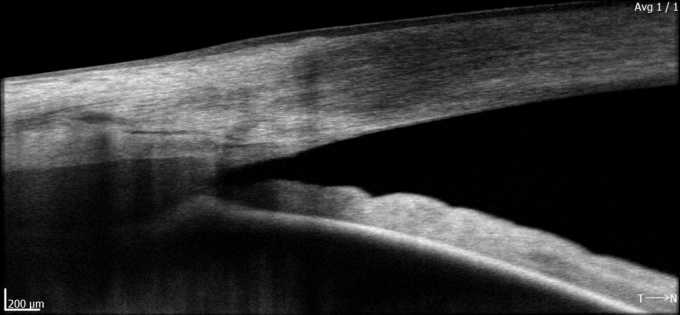
Glaukom3

Beispiel eines Kammerwinkels im OCT

In der Therapie können drucksenkende Medikamente eingesetzt werden. Eine andere Möglichkeit ist es, den Kammerwasserablauf zu verbessern, um damit den Druck zu senken – zum Beispiel mit einer Laser-Therapie, Kanaloplastik oder einem Sickerkissen.

Das Glaukom kann im OCT detailliert und präzise im Verlauf beobachtet werden, um frühzeitig zu erkennen, wann erneuter Handlungsbedarf besteht.

Glaukom4

Untergang der Nervenfasern im OCT Verlauf

Diese Internetseite verwendet Cookies, um die Funktionalität und den Inhalt zu optimieren. Durch die Nutzung unserer Website wird der Verwendung von Cookies zugestimmt. Weitere Informationen zu Cookies und der Verwendung Ihrer Daten erhalten Sie in unserer Datenschutzerklärung. Mehr erfahren

Einstellungen